HOME
訪問歯科
歯科医院紹介
入会案内
定期健診
休日診療
図画ポスター
HOME
歯科医師会について
- 会長挨拶
- 会の概要
- 事業内容
- 組織体制
- 事業および財務に
関する資料
- 詳細な地図
お知らせ
-->
会員歯科医院の紹介
- 地名で検索
- 医院名で探す
入会案内
- 入会すると
- 保険に強い
- 講演会・研修会
- 安心経営
- 広報に強い
- 会員・家族の為の
福利厚生事業
- 入会希望の歯科医師の皆様へ
- お申込み
区と歯科医師会の協力事業
- 休日応急診療
- 在宅訪問診療
- 委員派遣
- 講師派遣
江戸川区口腔保健センター
- 江戸川区口腔保健センターについて
- 詳細な地図
- 施設の紹介
- 障害者(児)
・要介護高齢者の歯科診療
- 予防処置
- 口腔保健指導
- 歯科相談
- 摂食嚥下指導・相談
- 口腔ケア研修
- 受診を希望される方へ
(健康調査票・紹介状)
保健事業
- 成人歯科健診
- 妊婦歯科健診
- 健康サポートセンター内健診
- 口腔がん個別検診
- 区立保育園育成室健診
- 口腔ケア健診
「江戸川歯つらつチェック」
歯科医師会の活動
- 図画ポスターコンクール
- 6024運動
- 8020運動表彰
- 区民講座
- 警察との連携
- 40周年記念講演会
- 口腔ガン集団検診
- 学会発表・参加
- 障害者歯科学会学術大会
- 摂食・嚥下
リハビリテーション学会
- 口腔保健センター
10周年記念講演会
区イベントへの参加
- 防災訓練
- 区民祭り
- ウォーキングフェスタ
その他のコンテンツ
- 口と健康の知識
- お役立ちリンク集
- 個人情報保護方針
- ホームページの感想
- サイトマップ
江戸川区 歯科医師会
会員ページ
小
中
大
TOP
歯科医師会の活動
8020運動表彰
メニュー
歯科医師会について
- 会長挨拶
- 会の概要
- 組織体制
- 事業および財務に
関する資料
- 詳細な地図
お知らせ
会員歯科医院の紹介
- 地名で検索
- 医院名で探す
入会案内
- 入会すると
- 保険に強い
- 講演会・研修会
- 安心経営
- 広報に強い
- 会員・家族の為の
福利厚生事業
- 入会希望の歯科医師の皆様へ
- お申込み
区と歯科医師会の協力事業
- 休日応急診療
- 在宅訪問診療
- 委員派遣
- 講師派遣
江戸川区口腔保健センター
- 江戸川区口腔保健センターについて
- 詳細な地図
- 施設の紹介
- 障害者(児)
・要介護高齢者の歯科診療
- 予防処置
- 口腔保健指導
- 歯科相談
- 摂食嚥下指導・相談
- 口腔ケア研修
- 受診を希望される方へ
(健康調査票・紹介状)
- 第30回 江戸川区口腔保健センター 区民講演会
保健事業
- 成人歯科健診
- 妊婦歯科健診
- 健康サポートセンター内健診
- 口腔がん個別検診
- 区立保育園育成室健診
- 口腔ケア健診
「江戸川歯つらつチェック」
歯科医師会の活動
- 江戸川区歯科医師会50周年記念講演会
- 図画ポスターコンクール
- 6024運動
- 8020運動表彰
- 区民講座
- 警察との連携
- 40周年記念講演会
- 口腔ガン集団検診
- 学会発表・参加
- 障害者歯科学会学術大会
- 摂食・嚥下
リハビリテーション学会
- 口腔保健センター
10周年記念講演会
区イベントへの参加
- 防災訓練
- 区民祭り
- ウォーキングフェスタ
その他のコンテンツ
- 口と健康の知識
- お役立ちリンク集
- 個人情報保護方針
- ホームページの感想
- サイトマップ
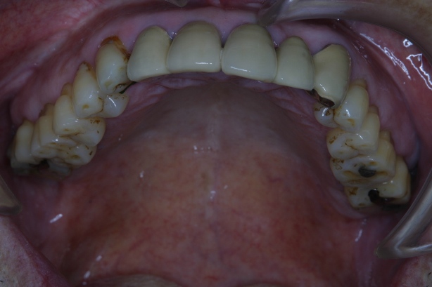
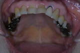
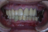
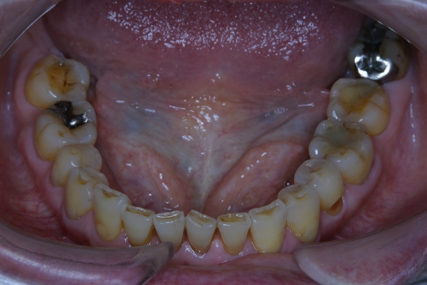
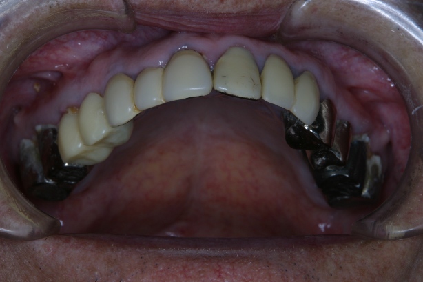
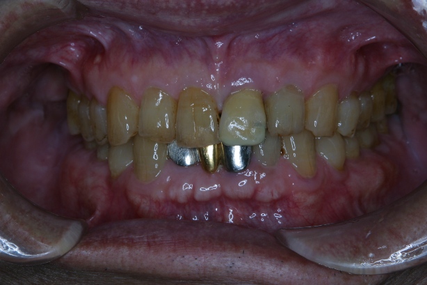
「8020運動」 表彰に出て頂いた方々のお口を拝見
阿井照男さん
磯部和高さん
稲増重勇さん
玉虫春江さん
佐藤一男さん
桜庭佐吉さん
小笠原健一さん
石渡千枝子さん
泉博義さん
谷口嘉彦さん
谷中トミさん
谷津保夫さん
池田誠之助さん
長谷川明さん
東文恵さん
白井つねさん
尾崎義夫さん
鈴木鐵之助さん
眞利子ミネさん