80歳で32本、8032達成者の声
8020(ハチマルニイマル)運動というのをご存じでしょうか?
80歳になった時、親知らずを除く28本の歯のうち、20本以上自分の歯があれば、ほとんどの食物をかみくだくことができ、おいしく食べられるところから、20本以上の歯を保つことを目標としているものです。
80歳で20本以上の歯をもつ方と、そうでない方を比較すると、身体全体の健康状態にも差があり、現在その研究が進められています。
残念ながら80歳にまで達していない歯科医師が8020を経験で語る事はできません。
様々な研究も重要ですが、それを達成した方々の経験を聞き役立てて行く事も必要です。
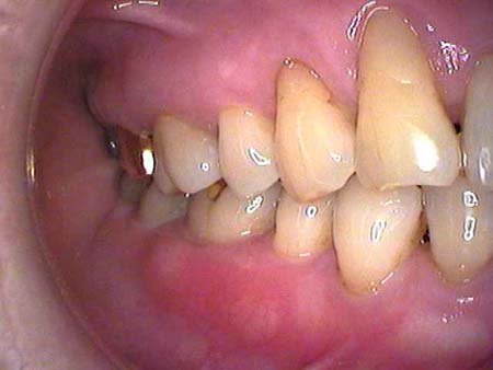
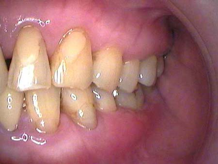
幸運にも、80歳で親知らずまで含めた32本の歯を健康に保って元気にお過ごしの方がいらっしゃります。
歯科医師会を中心に8020運動が始まり、昨年より江戸川区の歯科医師会で8020達成者を表彰する事になりました。それがきっかけとなり、短い時間ですが本人の同意を得てインタビューをさせて頂き、感銘を受ける様々な事を聞かせて頂きました。
ここに紹介させて頂きたいと思います。
ご紹介する方は本当に若々しく元気で素敵な女性です。昭和の初め頃に永久歯の萌出時期を迎えています。当時は第二次大戦前で、戦後のような悲惨な状況では無いものの、現在の子供たちがおかれている生活環境とは大きく違っています。その点もふまえてご覧頂きたいと思います。
あ ら す じ
ご本人のお顔、名前を出さないと言う条件を提示させて頂き、ご本人からの許可を頂いて以下の内容を公開させて頂きます。
1.ご出身について
大正10年1月24日生、現在の墨田区がご出身、平成14年80歳を迎えました。
父親は床屋さんで10人兄弟とのこと。
2.歯科への来院のきっかけ
歯科への定期管理を行っていた娘さんがお母さんの歯の不調を聞き心配となり、 平成2年10月、娘さんの勧めで来院しました。
3.12年間の間で歯周病の検査結果の悪かった時
仕事が忙しい、一時的な身体的不自由、娘さんの結婚など、生活や身体など生活習慣 のリズムが乱れた時。
4.幼少時からの経験談
- 昭和元年頃に1回だけ歯の痛みを感じた記憶がある。その後は痛みの起こる前に歯科治療を受けている。
- 昭和元年頃には歯の痛みを封じるという仏教のまじないがあった。
- 親からの歯磨きをしてもらった経験は無い。幼少時からの歯間清掃の経験も無い。
- 当時「小学校に上がったら歯を磨く」という啓蒙が行なわれて、それがきっかけとなって朝と夜の歯磨きを始めた。
- 夜歯磨きをしたら何も食べないと言う事を実践していた。
- アメはなめなかった。しかしアンコ物は食べた。スルメイカや硬いおせんべいが好きだった。また、肉は1ヶ月に1~2回程度と少なく、魚が好きで毎日食べ、海草も一緒によく食べていたとの事。 間食はあまりしなかった。したとしても少量の焼きそばとかお好み焼き程度。
5.歯科、医科との付き合い
- 痛みの起こる前に歯科治療を受けている。
- 68歳まで定期的には健診や歯石取りは行っていなかった。その後は必ず半年おきに行っている。
- 20年くらい続いているが薬は飲みたくない。少なくとも少しにして欲しい。
- 糖尿病、白内障になるが、自分からも率先して医師と話をし、納得して指示を守り治療を受け、継続している。しかし、納得しないと行わないし、納得のいかない事を感じると疑問に思う。
6.歯に対する思い
- 歯が痛くなるのは嫌。
- 歯は自慢、自分の歯で何でも食べられている事を誇りに思っている。
- 今でも白くてきれいな歯を見ると羨ましく思う。
- 8020表彰を受けた事をうれしく思っている。
- 人前に出るのは嫌だが、自分の経験が他の人に活かされる事には協力的。
人を誉め讃える事は、手本を示せるし、他の人への影響も大きいはずです。しかし、その根拠がハッキリ明示していないと意味がありません。先人の教えを受け継ぎ発展させるのが先生業ですが、先人とはエライ先生だけでなく、健康を維持してきた人もそうです。 日進月歩のまだ未完全な医療の中で、より多くの方が健康になるには医療の強要ではなく、経験に基づく教えを広める事がまず大切である事を感じました。
インタビュー
(そのままの言葉なのでわかりにくい所もあります)
| ● | 平成2年10月からのおつき合いをさせて頂いていますが、◎◎さんが子供の頃というと今とは随分違う時代だったと思いますが、どのような記憶がありますか? |
| ○ | 私が子供の時、5~6歳(昭和元年位)の時「歯が痛い」と言ったのよね。 成田のお坊さんが私のおじいさんの所へいつも拝みに来ていたのよ。 そうしたら歯の痛みを封じてあげますといってくれてまだ萌えかわらない歯の時でね 何枚かの布のようなものが重なっているのを噛みなさいと言われそれが出来なくてうんと泣いたの覚えているのよね。でも歯が痛いと思ったのはその1回だけでその後は無いのよ。それでね、だいたいね、夜は歯を磨きますよね。そう、夜と朝は。 |
| ● | それは小さい時から? |
| ○ | 小さい時から歯は磨いたわよ。それで歯磨いちゃうと物は食べないの。 そう食べなかった。 それでアメはあまり好きじゃなかったからアメは食べなかった。アンコ物は食べたけどね。アメは全然なめたりしなかったのよ。なにしろ歯を磨いちゃったら、ご飯を終わったらすぐ歯をみがくでしょ。そうしたら夜になっても何にも食べない。 |
| ● | 自分で歯磨きを始める前にお父さんとかお母さんが歯磨きをしてくれたという事はあったのですか? |
| ○ | やってもらわないわよ、じぶんでやってた。 |
| ● | じゃあ自分で歯磨きを仕始めた年というのは? |
| ○ | 小学校上がってからじゃない?「歯を磨きましょう」ってみんな言いましたよね。 歯を磨かないといけないって、学校に上がったらって。その頃から磨いてましたよ。 それで横に磨くとね歯ぐきが減っちゃうって、縦に磨きなさいって言われたのよね。 でも私変わらないと思うのよ。それに私むし歯になってないのよ。 |
| ● | 今は歯ブラシ以外に、歯間ブラシをやっていますが、歯と歯の間の掃除はその頃はどうでしたか? |
| ○ | 全くやってなかったですね。 |
| ● | 何か好きな食べ物はありましたか? |
| ○ | そうね。スルメイカとかね硬いおせんべいね。手焼きの硬いおせんべい、そういうのが好きだった。 |
| ● | 間食はしましたか? |
| ○ | そんなにしない。でも、子供の時分はさ、その辺に行って買って、例えば焼きそばとかお好み焼きみたいなものは食べましたよ。でもいっぱい、太るほどは食べない。だから私は痩せているのよ。ずーっと痩せていたの。甘い物もたまにだったし。 |
| ● | ここにカルテがあるのですが、平成5年に僕の所に来たのはむし歯がきっかけでいらっしゃったのですね。しかし以前詰めていたのが取れて詰め直し程度のものでしたね。 ただ、歯石が付いていて、歯石取りもやっていますね。私の所へ来る以前に定期検診や歯石取りはどうでしたか? |
| ○ | なんにもしてなかった。でも私、歯痛くなんないでしょ。 ただね、何かで前歯がぶつかって、この歯もっと格好良かったのよ、でも少し前にでていて、歯医者さんに行ったらジャキジャキしますってすこし減らして丸くしてくれちゃって、もっときれいな感じの良い歯だったのよ。 でもそれで間に合うからって言うんでそのままだったんだけど。でも歯石は付いていたわよね。 |
| ● | 僕の所へ来て歯ぐきの検査をして歯石を取ったのだけど、その後、歯ぐきがすぐ良くなったのはすごかったですね。 |
| ○ | そうね、その後も歯は痛くなっていないし。他の人からは歯が痛いと言われたことはあったけど。 |
| ● | 薬を飲んで口が渇いて、薬を辞めようと言ったことがありましたよね。 |
| ○ | そう、でもそんなに大したことは無かったわよ。私ね、薬は辞めたいと思ったの。でもねなかなかね辞めさしてくれないのよね、先生はね。 もうずっと前ですけれどもね、先生の所へ行ってね、あの薬を飲んだらこの薬飲む、あの薬飲んだらこの薬、今度はこの薬、これはダメだからこれって、そういう風にねえ、そういう因果関係のような薬じゃなくて、なんかね、少し減らして下さいって言ったの。 |
| ● | どんな薬だったんですか? |
| ○ | あの、今も飲んでいるわよ。糖尿の薬。それでもなるべく減らしてもらっている。それでも3個か4個飲んでいるのよ。今度持ってきてもいいけど、これは糖の薬ってちゃんと書いてあるのよ。で、食事の前に飲むのと、それは食べた物が糖にならないみたいに言われてねずっと飲んでいます。4種類か5種類飲んでいたのよ。 薬辞めるわけにはいかないんですか、ってね。私はよその人と違って黙っていないのよ。必ず聞いてね、こんないっぱい薬を飲んでてね私ね飲まなくていいんじゃないですか。って言うと、やっぱりね糖がでますから、なんとかかんとかって言われちゃうのよね。で減らして下さいって言ったって、なかなかね。 |
| ● | 薬は何歳くらいからお飲みになっているのですかね? |
| ○ | だって、どの位かしら、胃が悪くてね、□□にかかったんですね。ではっきりして20年くらいですかね。 |
| ● | こちらに来る以前に、歯ブラシとか歯間ブラシとかの歯磨き指導とかを受けた事はあったんですか? |
| ○ | 受けた事無いわよ。 |
| ● | じゃあ自己流?。 |
| ○ | うん、自己流 |
| ● | たいしたもんですね。 |
| ○ | 私ねみんなが歯が痛くなるって凄いのよね。私、歯が痛くなるの一番イヤ。 それだから自分でさ、こう言う所やなんかもね、あの、いろんな歯ブラシが出てきたからさ、こういう歯のところなんか糸ようじなんかまあ一杯買うじゃない。でも今やらない。歯間ブラシだけ(笑い) |
| ● | 歯間ブラシは1日1回? |
| ○ | 1回ねえ。やらない時もあるけどね。 若く見られるの。そう、私、目が良いのよ。1.2なのよ |
| ● | 僕なんか0.08と0.06で…… |
| ○ | だから老眼鏡……そうなの、あれよ、眼鏡いらない。だからね、こういう字でも、この位の字はみんな、新聞なんて全部読めるの。眼鏡無くて。 |
| ● | すごいですね。僕らの世代でも目を遠くに離して見るなんて話がでているんですよ。 |
| ○ | 字書いていても眼鏡いらないの。 |
| ● | いいですね。こういう経験論ていうか、8020はいらっしゃるんですよ。今回推薦されているだけでも45名くらい、いらっしゃるんですよ。なんですけど8032て言うのは今後もあまり出ないと思うし、僕にとっては誇りに思っているし、今までの検査の結果とか、他の方も全部取ってますけど、ほんと貴重なんですよ。 |
| ○ | でもね、ほんとみんなに羨ましがれるの。あの、歯が良いとね。 |
| ● | 平成10年の11月に目の手術をされましたよね。 |
| ○ | 2回行ったのよ、目の手術。 |
| ● | 4月に行って白内障で、糖が出ていてしばらく出来ないって言われて。それにこの頃後頭部の頭痛がひどいって言ってたんですね。物が歯につまりやすいっておっしゃって、見たら歯ぐきが腫れてきていて……。でもすごいですね6ミリ近くあったポケットも歯石取りをしたらすぐ4ミリまで下がったんですね。 |
| ○ | そうね。 |
| ● | 変化はあるけど、糖尿病があって、しかもこのように維持しているなんて凄いんですよ。 定期検診はほんときちんと来て歯石取りもしていらっしゃっているし、歯間ブラシまできちんとしてますよね。 詰めている所が悪くなって再治療もしていますが、それもきちんと受けてますね。 それにしても全部の歯がこのようにしっかりとしている事はすばらしいですよ。 |
| ○ | でも、ほんとうれしいですよ。とくにねえ、他の人から歯が痛いって言うのをきくとね。 |
| ● | 僕もあまり言えなくて、むし歯で痛い思いもしていますし、だからむし歯の治療を受けると特に患者さんに対してやさしくなるんですよ。 |
| ○ | そうですよね、わかるから(笑) 私の歯はね、私の歯って黄色いのよね、それが気にいらなくってさ、いくら磨いても白くならないのよ。 ちょっとね、黄色っぽいの。そう言ったら黄色い歯の方が丈夫だってみんなに言われて |
| ● | 日本人は黄色人種ですしね。有色人種ですから少しくらいは…… |
| ○ | でも子供たちはさ、小さい時から磨いていて、それをみていると白いじゃない。だから羨ましくって。ここに来るまで歯石も取らないできたからわからないのよ。 |
| ● | でも、絶えず意識してもらうっていうことが大切なんですよね。 (定期検診中) |
| ● | ◎◎さんね、このあいだの電話で怒られると思ったんだけど、来年お願いしますって去年言ってたじゃないですか、で、歯科医師会というのがあって健康政策とかやっているんですけど、そこで80歳を迎えた方で20本以上歯を持った方を表彰して、形として残し今後に役立てていきましょうという運動をしているんですよ。で、これ |
| ○ | なーに、まぁ。 |
| ● | これ、僕らの会で一生懸命作った物なんですが…… 実は表彰式があって、僕も出られればお連れして一緒に出たいと思ったんですが、親戚の結婚式があって行けないんですけど、13日の日曜日に江戸川区民まつりというのがあってそこでお願いした方に何人かの人に出て頂いて表彰をするというのがあるんですけど。 |
| ○ | 出ないわよ |
| ● | それは大丈夫です。僕も出られませんし。 ただ、会長名でこう言う賞状がきていますんで。趣旨はわかってもらいたいんですよ。 |
| ○ | ハイわかります。なんだって、歯だって良くなって、それにこんなにまで……。 |
| ● | もし良ければ一緒に写真を……できればこうして……。 |
| ○ | こうすればいいの? |
| ● | ありがとうございます |
| ○ | でも80の顔だから……。でもしょうがないわね。 私ねお化粧って全然してないの。そのまま顔洗っちゃうし、化粧水だけちょっとつけるくらいであと何にもしてないの。 |
| ● | (賞状を読まして頂く)これ受け取って下さい。お願いします。 |
| ○ | なんか申し訳ないわね |
| ● | とんでもない、とんでもない。僕らとしても一生懸命やっててもなかなか達成された方の良さという物をやはりアピールしていかなければ、自分がなってやろうという方々、思ってくれる方が出来ないというのがあるんですよ。 |
| ○ | 歯でこんな表彰までされるなんてねえ また言われちゃうわよ。またみんな羨ましがるよ、こんなの見ると。 |
| ● | ただ、これからなる方々がそう言うふうになってほしいという鑑、だから要は誰かお手本となるような方何て言うのかな、お手本になるような事がなければやりにくいってあるじゃないですか。 |
| ○ | そうねえ。 |
| ● | それに、歯医者だっていくら歯の勉強をしたって自分が80歳になって20本以上残している人なんであまいないと思うし、そうなっちゃうと話が出来なくなっちゃう場合が多いんですよね。 |
| ○ | 本当に |
| ● | それで、今実際の方でもって、そういうものができればなあと思っているのがあるんです。 |
| ○ | でもお陰様でねえ、歯見て頂くかさあ、頑張ってねえ、物だって他の人よりもほんと何でも食べられる。硬い物でもね、ほんと食べられないのよ、若くてもねえ、食べられないのよね。でも私は何でも食べられる。 |
| ● | それが一番なんですよ。それでこれが粗品なんですけど。 |
| ○ | 本当に、悪いわねえ |
| ● | とんでもない |
| ○ | どうもすいません。なんか涙が……。なんか、あれじゃない。 |
| ● | いえいえ……でお荷物になりますがこれを。 で、治療は途中までしかやってませんので、この次からまたビシッとやっていきますので。よろしくお願いします。 でも、本当におめでとうございます。 (帰り間際に) |
| ● | でも、もう少し、後何年かというところで達成という時に危なくなった時があったじゃないですか。 その時にどうにかと思って、色々考えた時に薬の事とか聞いた覚えがあるんですよ。 |
| ○ | ほんと、私薬は飲みたくないのよ。でもねやっぱり必要もあるしねえ。 |
| ● | しょうがないですね。でも悪くならない範囲でね、薬の良い所だけが使えるといいんですがねえ。 |
| ○ | でも歯はねえ、私はねえほんと自分で歯は自慢だからねえ、歯だけ…… |
| ● | とんでもない |
| ○ | 昔っから歯は良くてそれが維持出来て……。 |








